Hable con elPrograma

Selecciona tu emisora

PerfilDesconecta
Buscar noticias o podcast

Conejos y policías: cómo engordamos

Llantas, conejos, policías, bananos… las temidas acumulaciones de grasa reciben muchos apodos. ¿Cómo se forman?, ¿el azúcar puede convertirse en grasa?

Parque Explora

Medellín

Antes que nada, hay que pensar tres cosas.

1. Todo está formado por átomos, partículas invisibles que se unen mediante enlaces y forman moléculas, que tampoco se pueden ver.

2. A veces, ellos reaccionan entre sí y liberan energía que se puede aprovechar, la energía química.

3. Los seres vivos necesitamos energía todo el tiempo, para crecer, regenerar tejidos, desplazarnos, reproducirnos… en fin, para vivir.

¿Qué tiene que ver la energía con la obesidad? Pues bien, no existen alimentos que engordan, existen estilos de vida que engordan, aquellos en que la energía consumida es mucho mayor que la utilizada. Por ejemplo, un chicharrón frito —rico en grasa y por ende en energía—, ¿tendrá el mismo destino en un atleta que en una persona sedentaria? La actividad metabólica varía de individuo a individuo, por eso no puede hablarse de los alimentos si no se habla de quien los consume.

Pero ¿cómo se almacena la energía en los alimentos? En las moléculas que los forman. Ingerimos la comida, en la digestión se “simplifica” y los nutrientes pasan del intestino a la sangre, y en ella viajan a cada célula del cuerpo donde la energía que portan se traslada a moléculas que, como el dinero en efectivo, podemos usar rápidamente. Por ejemplo, si de un momento a otro sales corriendo, son estas las que permiten que los músculos de tus piernas se contraigan.

Izquierda: glucosa. Derecha: glucógeno

Izquierda: glucosa. Derecha: glucógeno

Izquierda: glucosa. Derecha: glucógeno

Izquierda: glucosa. Derecha: glucógeno

Cuando la energía consumida excede a la utilizada, el cuerpo empieza a almacenarla. El hígado convierte todo el “efectivo” en reservas. Una vía es pegar los azúcares simples para formar otros más complejos. Otra es fabricar ácidos grasos a partir de ellos —una manera muy eficiente de “guardar” energía, pues una molécula grasa contiene el doble de energía que una de azúcar—. Así que, sí, el azúcar puede ser el insumo para crear grasa.

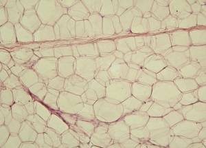
Adipocitos, células que almacenan grasa.

Adipocitos, células que almacenan grasa. / Departamento de Histología de Jagiellonian University Medical College

Adipocitos, células que almacenan grasa.

Adipocitos, células que almacenan grasa. / Departamento de Histología de Jagiellonian University Medical College

En este último camino los ácidos grasos, triglicéridos, son transportados en la sangre y se acumulan en sacos que ocupan casi todo el volumen de las células de tu abdomen, tus glúteos, piernas… las células de los “conejos”, los “policías” y los “bananos”: los adipocitos.

Ahora en directo

ver programaciónver programas

Programas Recomendados

Síguenos en

 

Directo

  • Radio

  •  
Últimos programas

Estas escuchando

Noticias
Crónica 24/7

1x24: Radio Colombia

23/08/2024 - 01:38:13

Ir al podcast

Noticias en 3′

  •  
Noticias en 3′
Últimos programas

Otros episodios

Cualquier tiempo pasado fue anterior

Tu audio se ha acabado.
Te redirigiremos al directo.

5 "

Compartir