Por robarle el celular un joven recibió una herida cerca al corazón
Médicos salvaron la vida del hombre que tenía una probabildiad del 2% de salvarse.

(Cortesía)

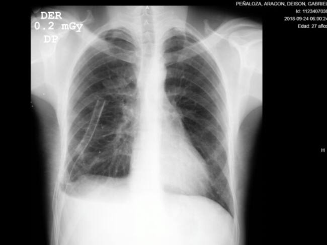
Al borde de la muerte estuvo Deyson Peñaloza, luego de una herida con arma cortopunzante que estuvo a centímetro y medio de perforar el corazón. El joven fue llevado al área de urgencias de la Unidad de Servicios de Salud (USS) Meissen, allí logró sobrevivir.
“Un hombre me atacó propinándome una puñalada, fue tan profunda que aun no entiendo cómo sigo vivo. Más de uno me había dado por muerto por el estado en el que ingresé, pero gracias a los médicos del hospital de Meissen viví”, contó el joven de 27 años.
Mientras el paciente era atendido en el servicio de urgencias, en la unidad transfusional de la Subred Sur se le realizaron pruebas de laboratorio para reservar sus hemoderivados y así poder adelantar el procedimiento quirúrgico, dada la condición crítica en la que fue recibido.


“El paciente ingresó inconsciente y con 98 % de probabilidades de morir, pero luego de la inmediata atención y valoración que recibió el joven, tras salir del área de reanimación, fue llevado a sala de cirugía donde se intervino de manera exitosa”, comentó Josef Kling, médico especialista de cirugía general de la Subred Sur.
Luego de completar su recuperación en el servicio de hospitalización con ejercicios de incentivo respiratorio, Deyson fue dado de alta y se estima que, siguiendo una serie de recomendaciones y controles periódicos, muy pronto pueda retomar sus actividades diarias.




