Diana Nieto vive una odisea desde que su hijo, de 8 años se tragó una piedra
Los médicos lograron a través de un procedimiento mover la piedra del lugar donde se encontraba, buscando que el niño la expulse para luego seguir con la valoración del menor.

Diana Nieto vive una odisea desde que su hijo, de 8 años se tragó una piedra
El código iframe se ha copiado en el portapapeles
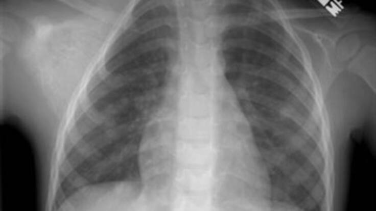
Desde el momento en que su hijo Andrés Felipe de 8 años se tragó una piedra , Diana Nieto ha vivido una completa odisea. Nueve clínicas han tenido que recorrer para buscar una solución para el problema que presenta el menor
El dictamen médico dice que tiene un cuerpo extraño de considerable tamaño en el esófago. El menor, finalmente, fue remitido anoche a la Clínica del Caribe, donde le practicaron una endoscopia para ver si le pueden retirar la piedra
Después de este procedimiento los médicos lograron mover la piedra del lugar donde se encontraba buscando que el niño la expulse para luego seguir con la valoración del menor




