Gingivitis, una enfermedad que genera perdida dental
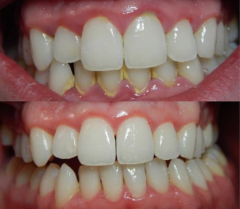
Los problemas dentales pueden surgir en cualquier momento, producidos por un mal cuidado bucal y una muestra de ello es la gingivitis, enfermedad que se desarrolla por el exceso de la placa que se deposita en los dientes y los tejidos que lo rodean.

(C.C Google Images )

Los problemas dentales pueden surgir en cualquier momento, producidos por un mal cuidado bucal y una muestra de ello es la gingivitis, enfermedad que se desarrolla por el exceso de la placa que se deposita en los dientes y los tejidos que lo rodean.
Conversamos con el odontólogo Christian Salazar experto en rehabilitación oral y estética dental, sobre la gingivitis una de las enfermedades bucales más comunes en los hogares colombianos y nos cuenta que esta enfermedad se produce por el exceso de placa en los dientes.
“La placa es un película pegajosa e incolora formada por bacterias que se acumula por el escaso cepillado y uso de la seda dental, permitiendo la inflamación de las encías” afirmo el Dr. Salazar
Para detectar la gingivitis se debe observar si esta se encuentra hinchada, roja, presenta sangrado, además esta sensible y brillosa, ya que la encía sana es de un tono rosa pálido, no sangra y está adaptada al borde de los dientes por ende no genera dolor u otro malestar en las personas.
Se debe tener en cuenta que la gingivitis es la primera fase de la periodontitis, una enfermedad que genera la perdida dental y está asociada a otras enfermedades. El odontólogo Christian Salazar indica que “si se observa sangre en el cepillado o durante el uso del hilo dental se debe acudir al especialista para empezar a tratar la enfermedad.”
Una vez la enfermedad ya está presente mediante una correcta higiene bucal, cepillado diario y uso de hilo dental más el enjuague pueden ser suficientes como tratamiento para revertir la gingivitis. Para las fases siguientes se requiere de un procedimiento guiado por el especialista.
Cabe recalcar que la gingivitis además de la perdida dental puede ser la conexión con otras enfermedades, pues las bacterias alojadas en las encías ingresan al cuerpo humano por el torrente sanguíneo desencadenando otras afecciones.
Dentro de las recomendaciones que realiza el Dr. Salazar esta la realización de la limpieza oral a profundidad por los especialistas 2 a 3 veces por año para eliminar el sarro o la placa dental que no se elimina con el cepillado y uso de seda dental diario.
Christian Salazar




